「膀胱異物」で検索されると当院に辿り着く方が多く、膀胱や尿道に異物が入ってしまった患者さんを診ることが思いの外多いです。膀胱異物といえば五本木クリニック?というわけで、尿道や膀胱に異物を入れることはヤメてほしいという切実なお願いと、なぜ入れてしまう人が絶えないのか?という問題について泌尿器科医としてマジメに考察します。
本記事の内容
膀胱とか尿道に異物を入れてはダメだよ❗

これは泌尿器科紀要 (48:229-230,2002) の「膀胱異物(チューインガム)の1例」と題された症例報告論文です。
五本木クリニックで治療できない場合は、病診連携をしている大病院に紹介しています。そんなこんなで、「桑満くん、今度膀胱異物や尿道異物の症例があったらぜひ当院に紹介してね」と偉い偉い泌尿器科医では知らないものがいない超有名泌尿器科医に言われるようになっています(症例をケースシリーズにして学会で発表を目論んでいるのかも)。
人は山があれば登りたくなりますし、穴があったら入りたくなることもあります(意味が違うか)。
人間には穴があったら何かを入れたくなる本能でもあるのでしょうか?
当院の症例をブログでご紹介するのはちょっと問題あるので、医学論文になっている「膀胱異物」や「尿道異物」を引用しながら、なぜ、人は穴に何かを入れたくなるのか?を考えて参ります。
この件に関してはいつかブログにしようと思ってはいたのですが、私が尊敬している山本健人医師の優秀な肛門を大切に けがや病気で「精密機械のような臓器」が失われる怖さとはという記事にインスパイアされとうとう書いてしまいました。
私の場合は山本医師の記事のような役に立つ話には、今までの流れとしてなりません(膀胱だって精密なんだけどね)。
まずはインドの膀胱異物の症例報告です
あくまでイメージ、※個人的な感想ですレベルでインドはそれはそれは派手な膀胱異物の症例報告があるかなあ、と論文を調べてみるとこれが見つかりました。

これは膀胱から内視鏡を使って腎臓にステントを入れて、そのステントが膀胱内に落ちてきてしまったようです。インドの場合、低所得層の方は邪険に扱われるようで、ステントを入れた後、なんのフォローも無く、左の写真のように膀胱内に落ちてしまったステンが石灰化してしまった症例です。
次はちょっと派手です。個人的嗜好で膀胱内にボールペンを入れてしまったようです。

次はもっと派手な膀胱異物で、レントゲン写真で膀胱内にプラスチック製の異物がなぜか入ってしまっている様子がわかります。

この女性はご自分から積極的にプラスチック製のでっかいものを膀胱に入れてしまったようです。
In our study, a plastic container was found in the bladder in 2 females; in these cases, the container was self-inserted for sexual gratification and was removed by transurethral cystolitholapaxy
やはり人は穴があると何かを入れたくなってしまうようです。
次は韓国の膀胱・尿道異物の症例をご紹介します。
近くて遠いお隣の韓国の尿道異物
政治的な問題はおいておきます。韓国と日本は医学に関しては親密な交流を続けています。私が専門とする泌尿器領域では国策もあって、症例を限られた病院に集中することによって、激しくクオリティの高い医学論文を出しています。
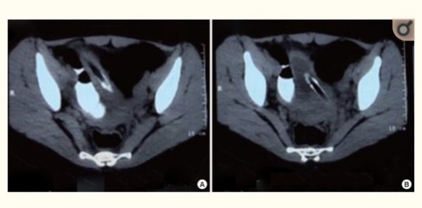
これはもちろん国策では無いでしょうけど、こんな症例報告があります。「Unusual Foreign Bodies in the Urinary Bladder and Urethra Due to Autoerotism」(PMID:21179338)に掲載されているレントゲン画像の謎の物体。

これを取り出してみたら、これでした。

ボタン状の磁石です。これを取り出す為に、尿道を切開したようですが、尿道は一度切開すると狭窄が起きることが多いと考えられていますので、できれば腹部の一部を切開して膀胱からアプローチしても良かったんじゃないかな、と感じました。
右側の写真は20センチの湾曲した棒状の異物、曲げた方が尿道に入りやすいことを知っているベテランの方なのかもしれませんね。
韓国でも、人は穴があると何かを入れたくなってしまうようです。
では我が国の症例報告を見てみましょう!
日本は膀胱・尿道異物先進国???
実は膀胱異物や尿道異物の統計学的なデータを私は求めていました。様々なキーワードで医学論文検索サイトで探しに探してやっと見つけたのがなんと日本の症例報告、それもまんまのタイトル「膀胱および尿道異物の統計的観察」です(https://repository.kulib.kyoto-u.ac.jp/dspace/bitstream/2433/120254/1/29_1363.pdf)。

この医学論文はこのような親切な一覧表が掲載されています。

大阪市立大学が1963年から1982年までの20年間に経験した膀胱異物と尿道異物とのこと。20年間で41例ということは年間平均2例程度、当院の症例数の方が明らかに多いです。
多種多様の異物が発見されています。麦の穂(私の記憶だと、アスパラガスってのもあったような気がしないわけでもない)、マチ針(どうやって入れたんだ?)、そしてお約束的な体温計とボールペン。
しかし、一番下にある「チューインガム」ってどうやって入れたのか、どうして入れたくなったのか、かなり気になります。
ほとんどの症例が内視鏡を使って取り除くことができたようですが、中にはお腹を切って膀胱にアプローチして取り出したものも12例あります。
日本人もやはり、穴があると何かを入れたくなってしまうようです。。。
探せば出てくる、出てくる、膀胱異物・尿道異物の症例は世界中で論文になっています。
膀胱異物のトレンドはこれだ❗
数年前から膀胱異物の患者さんが多数来院していて、ちょっと気が付いたことがあります。膀胱異物でどうしてこんなもの入れたのと感じつつ、複数の方が入れてしまったのが
お風呂の栓に付いている数珠状のチェーン❗
類似症例を探したらありました、ありました。

「Rare foreign body in bladder」(Medicine (Baltimore) . 2018 Apr; 97 (17) : e0519.)というタイトルの医学論文で2018年に発表されています(おお!私の最近のトレンドだよ説は正しいかも)。
この症例に使用された異物は67個の直径5㎜の「magnetic balls」なので、お風呂の栓に付いているチェーンでは無いかも、残念。
しかし、「67 magnetic steel balls」って本来の使用方法は何なんだろうね。ちなみにこの症例は中国のものです。
私が経験した膀胱異物を徒手で取り出す匠の技
研修医時代に経験した膀胱異物で経験した、匠の技と呼んで良い膀胱異物除去方法は忘れられないです。
若い女性が何かの拍子に体温計を膀胱内に入れてしまいました。体温計は当時は水銀式のため、内視鏡で取り出す際に割ってしまったら大ごとになります。担当した先輩医師は、「お前たちは開腹を考えているようだけど、嫁入り前の女性のお腹に手術跡を残すことがどれだけ患者さんの将来に影響するのか考えたのか❗」と猛烈に怒り出しました。
そしてそのO医師は女性の膣から指を挿入して、もう片方の手でお腹の上から膀胱を挟むようにゴニョゴニョ⋯数分後、なんということでしょう❗ゴニョゴニョで無事外尿道口から、膀胱内に入っていた水銀式体温計を取り出しました。
その若い女性は入院もしないで、もちろんお腹に手術跡も残さず、徒歩で帰宅しました(家族にも詳細は告げないで済んだのしょうね、良かった、良かった)。
膀胱内異物を徒手で取り出す匠の技を持った泌尿器科医は周囲を見回しても残念ながらいません
そのうち若い医師は手術支援ロボット ダヴィンチを使って取り出すようになっちゃうのかな、なんてことを高齢者仲間入り寸前というか、中年かなり後半に入っちまった一町医者である私は感じています。
このブログがみなさまに好評だったら、私が大学勤務医時代に経験した、尿道異物というか尿道外異物を取り除く血と涙とレスキュー隊出動という珍しい症例をお伝えしつつ、ヨーロッパやかなり派手な膀胱異物症例が期待できる米国の格調高い医学論文を紹介しようかな(笑)。